
Krzyckie Centrum Ortodontyczno - Stomatologiczne OrtoDent
Lokalizacja
Ladowanie mapy...
Skarbowców 122B, 53-025 Wrocław, Polska
O firmie
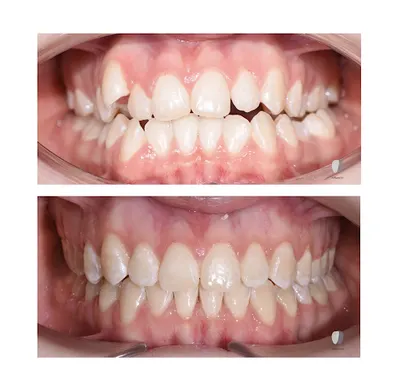
Krzyckie Centrum Ortodontyczno-Stomatologiczne OrtoDent we Wrocławiu, zlokalizowane przy ul. Skarbowców 122B, specjalizuje się w ortodoncji i stomatologii. Placówka cieszy się oceną 4.4/5 w Google na podstawie 569 opinii, co odzwierciedla mieszane doświadczenia pacjentów. Oferuje szeroki zakres usług, od leczenia ortodontycznego po zabiegi zachowawcze i kanałowe, zarówno w ramach NFZ, jak i prywatnie. Wielu pacjentów chwali konkretnych specjalistów, takich jak dr Martyna Cisowska, dr Natalia, dr Ola Domańska czy dr Maciej Pawlak, za profesjonalizm, cierpliwość i dobre podejście do dzieci. Wizyty często przebiegają w miłej atmosferze, punktualnie i bez bólu, z dokładnym omówieniem planu leczenia. Doceniane są też asystentki i recepcja na miejscu, które tworzą przyjazne otoczenie. Efekty leczenia ortodontycznego u dzieci i dorosłych spotykają się z pozytywnymi komentarzami. Jednak częstym zastrzeżeniem jest trudność z rejestracją telefoniczną – pacjenci narzekają na brak odpowiedzi i sugerują wprowadzenie kalendarza online. Pojawiają się też uwagi o organizacji wizyt i higienie. Mimo tych wyzwań, centrum przyciąga mieszkańców Wrocławia szukających specjalistycznej opieki dentystycznej. (198 słów)
Co mowia klienci
“Klinika Ortodent we Wrocławiu zbiera głównie pozytywne opinie za profesjonalizm lekarzy i ich empatyczne podejście, szczególnie do dzieci. Pacjenci chwalą bezbolesne zabiegi ortodontyczne, stomatologiczne i kanałowe oraz miłą atmosferę. Głównym mankamentem jest trudność z rejestracją telefoniczną.”
Mocne strony
- Profesjonalizm i doświadczenie lekarzy (np. dr Cisowska, dr Natalia, dr Pawlak)
- Doskonałe podejście do dzieci i pacjentów lękowych
- Bezbolesne i skuteczne leczenie ortodontyczne oraz stomatologiczne
- Miła atmosfera, punktualność wizyt i uprzejmy personel recepcyjny
Do poprawy
- Trudności z dodzwonieniem się i rejestracją telefoniczną
- Przekładanie wizyt bez uprzedzenia
- Pojedyncze przypadki nieprofesjonalnego zachowania personelu
Idealne dla
Dla rodzin z dziećmi szukających doświadczonego ortodonty i stomatologa z empatycznym podejściem.
Kategorie
Podobne firmy w okolicy

Orto Face - Ortodonta Wrocław
M-dent Magdalena Nadolna-Karpińska

mf.dent STOMATOLOGIA - ortodoncja, Invisalign, protetyka, endodoncja, stomatologia

Prime Dental

Centrum Ortodontyczne OrthoLine Patrycja Downarowicz

Ortodonta OrthoTeam Stomatologia Warmuz - Implanty zębowe
Inne firmy w okolicy

Ksero Wrocław Krzyki - Cyfrowa Drukarnia Osiedlowa
Dolnośląskie Centrum Zdrowej Stopy

Przychodnia Weterynaryjna Krzycka

Gabinet laryngologiczny Otomedic
Marcin Pochojka Instruktor, Osteopata, Przedsiębiorca
Pracownia Zdrowia

dr n. med. Janusz Orzechowski specjalista chirurg

Kuchenni | Meble na wymiar | Meble kuchenne Wrocław

Fizjoterapia i Osteopatia Jacek Adamski
Konrad Paprocki Rehabilitacja i Osteopatia
Marcin Fluder - fizjoterapia i osteopatia - Fluder Studio

dr n. med. Katarzyna Markowska, neurolog Wrocław
Maciej Ryszkowski, Laryngolog
Alminas - Architekt Wrocław, Architekt wnętrz Wrocław, Projektowanie wnętrz Wrocław
Gabinet Podologiczny "Przyjaciel Stóp"

DIARA Makeup Studio - makijaż ślubny i okolicznościowy
Wrocławskie Nieruchomości Sp. z o.o. | Biuro nieruchomości Wrocław

sunnytime.pl - biuro podróży Wrocław, organizacja wakacji i wylotów za granicę

EKREDYTOWI Sp. z o.o. - Kredyty Hipoteczne, Nieruchomości, Ubezpieczenia

dr n. med. Paweł Stachowiak